• 超大視野、功能全面
  • 大視野正畸首選

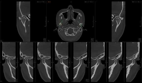
高清超大視野

  • 20×18cm

    最大視野

    高清超大視野

    頜面全況,一覽無余。基于雙射源成像技術和核心影像算法,在實現大視野成像的同時,影像清晰度也能兼顧。

產品概覽

頂部開放式設計
業內首創

大大減少患者幽閉、壓迫感,更能

減少設備所占空間。

六點頭部定位系統

六點定位,高效舒適

“一滑一扭”,快速完成頭部定位

穩定的電動座椅

對兒童及老年患者更友好

減少運動偽影的產生

落地式旋轉支架
業內首創

運動更平穩

有效提高成像精度

觸控式操作面板

參數更直觀

操作更簡單

滑環數據傳輸
業內首創

掃描無需歸位

減少設備復位等待時間

擺位語音助手

友好的語音指引

讓患者擺位更加高效

強連拍散熱模組

讓射源高效散熱

提升連續工作能力

PIROX PIROX PIROX PIROX PIROX PIROX PIROX PIROX
  • 頂部開放式設計

  • 六點頭部定位系統

  • 穩定的坐式定位

  • 落地式旋轉支架

  • 觸控式操作面板

  • 滑環數據傳輸

  • 擺位語音助手

  • 強連拍散熱模組

pirox
pirox
pirox
pirox
pirox
pirox
pirox
pirox

拍一次就好

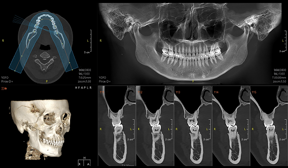
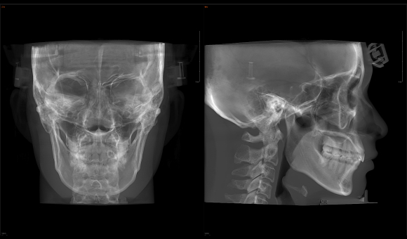
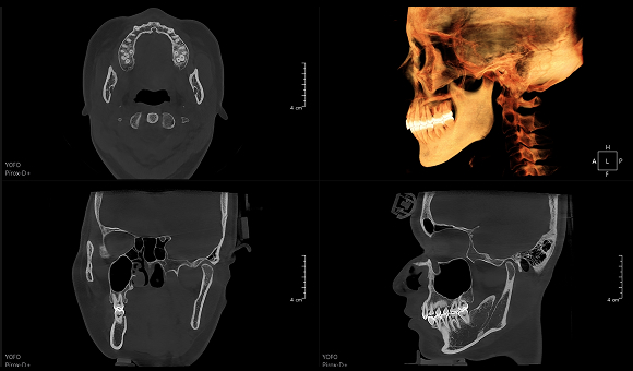
只需一次單圈掃描即可獲得CT、數字全景和3D正/側位影像,

并能同時生成3D TMJ視圖提高診療效率,避免過度檢查,減少患者所受的輻射

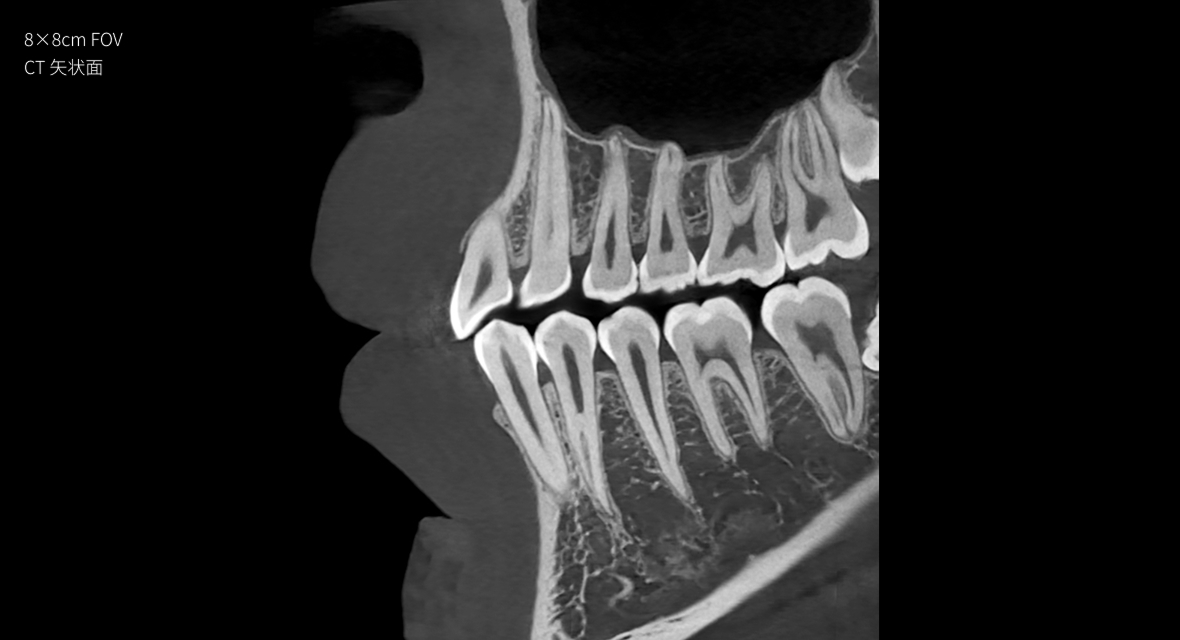
  • CT

    CT

  • 3D全景

    數字全景

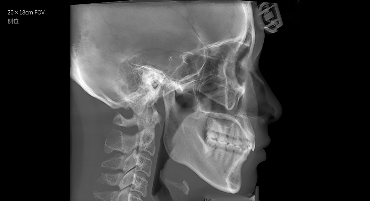
  • 3D 正側位

    3D 正側位

  • 3D TMJ視圖

    3D TMJ視圖

影像實力派

影像實力派
影像實力派
影像實力派
影像實力派
  • 影像實力派
    20×18cm
    非拼接大視野
  • 影像實力派
    28lp/cm
    高精準
  • 影像實力派
    Physics-driven系列偽影校正算法
    實現高清精準成像
    物理驅動
    偽影校正算法
舒適化診療
  • 舒適化診療
  • 舒適化診療
    • 舒適化診療
      頂部開放不壓抑
      減少幽閉感
    • 舒適化診療
      空間寬敞不打肩
      對大體型患者更友好
    • 舒適化診療
      坐著拍攝更舒適
      對兒童及老年患者更友好
低劑量保護
  • 低劑量保護
    • 低劑量保護
      低劑量成像算法
      射源初始輻射劑量更低
    • 低劑量保護
      患者離射源更遠 + 雙射源脈沖掃描
      輻射劑量顯著降低
    • 低劑量保護
      預設兒童模式
      進一步降低曝光時間和劑量
  • 低劑量保護
高效率作業
  • 高效率作業
  • 高效率作業
    • 高效率作業
      拍一次就好
      一次拍攝同時獲得三種影像
    • 高效率作業
      掃描快、擺位快、出圖快
      拍完2.6s出圖
    • 高效率作業
      連拍強
      射源散熱系統提升連拍能力

高顏值外觀

外觀設計榮獲iF2021工業設計獎 丨支持色彩定制 外觀設計榮獲iF2021工業設計獎 丨支持色彩定制

產品咨詢

歡迎致電有方醫療全國統一服務熱線400-878-2358,或給我們留言


聯系我們