“AI×云”影像中心——蘭臺醫令?

讓診療精準、高效
蘭臺醫令主圖

蘭臺醫令?功能概覽

  • CT閱片+正畸測量 CT閱片+正畸測量
    無論是否有網絡,都可在蘭臺醫令?影像中心上進行CT閱片和正畸測量。多項AI圖像處理功能,讓醫生操作化繁為簡。
  • 口腔CT智能報告 口腔CT智能報告
    可基于CT影像數據進行智能病灶分析,輔助醫生提升診斷效率,助力醫患溝通,患者可隨時隨地查閱個人的口腔健康狀態。
  • 遠程閱片會診 遠程閱片會診
    蘭臺醫令?的云影像功能,只需通過指定分享,即可輕松實現遠程閱片會診。
  • 云儲存擴容 云儲存擴容
    可將影像數據按需選擇上傳到蘭臺醫令?私服服務器,實現存儲擴容和備份的功能。

CT閱片+正畸測量 CT閱片+正畸測量

蘭臺醫令?集成了兩個有方醫療自主研發的CT影像處理軟件Dubhewer?和OrthDon?

  • CT閱片軟件
    Dubhewer?

    CT閱片軟件

  • 正畸測量軟件
    OrthDon?

    正畸測量軟件

多項AI功能,讓診療化繁為簡
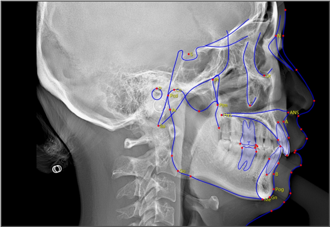
  • lamtau AI頭影測量

    AI頭影測量

  • lamtau AI神經管標記

    AI神經管標記

  • lamtau 單顆牙齒分割

    單顆牙齒分割

  • lamtau AI牙弓曲線

    AI牙弓曲線

  • lamtau 模擬種植

    模擬種植

  • lamtau AI氣道分析

    AI氣道分析

  • lamtau AI TMJ

    AI TMJ

單側頭影測量 專利 首創

偏頜患者的側位片左右側的影像不對稱,實際正畸測量時會產生較大的誤差。有方醫療推出單側頭影測量功能。這一功能有效解決了這一臨床問題,在口腔正畸領域廣受好評,并于2023年成功獲得國家發明專利授權。

單側頭影測量

口腔CT智能報告 口腔CT智能報告

可基于CT影像數據進行智能病灶分析,輔助醫生提升診斷效率,助力醫患溝通?;颊呖赏ㄟ^報告查閱個人的口腔健康狀態。

口腔CT智能報告 口腔CT智能報告
自動生成報告
  • 助力醫患溝通 助力醫患溝通
  • 患者可自主查閱 患者可自主查閱
遠程閱片會診

多項技術加持,讓蘭臺醫令?高效、可靠

Web版蘭臺醫令?即將上線!敬請期待~

產品咨詢

歡迎致電有方醫療全國統一服務熱線400-878-2358,或給我們留言


聯系我們