信CT

業界首款螺旋口腔CBCT

信CT

信CT——Hirox-O概覽

  • 螺旋掃描成像技術

    首創

    業界首創
    以小射角X光
    以小射角X光實現高清大視野成像
    實現高清大視野成像
  • 體驗好
    俯式擺位簡單、穩定
    小身型
    一體化結構,更省空間
  • 大視野
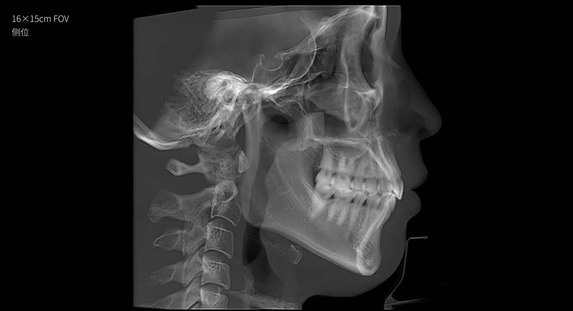
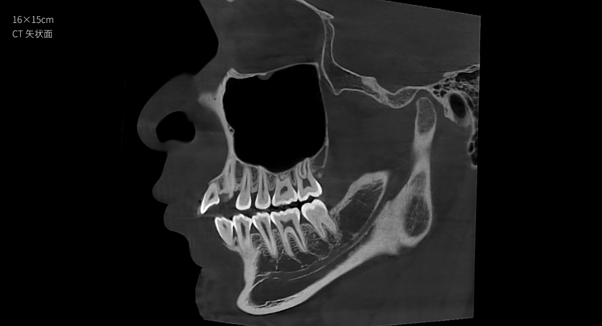
    16×15 cm
    最大視野
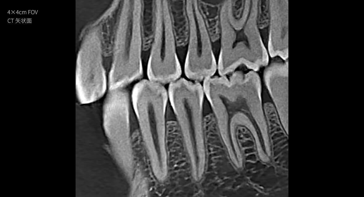
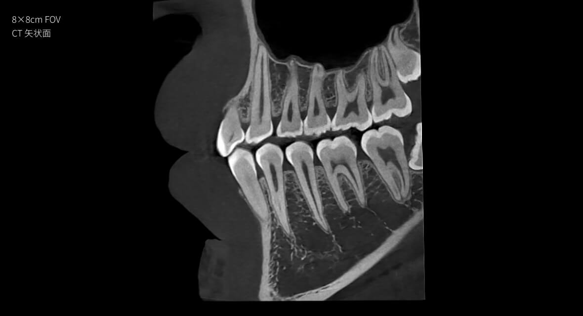
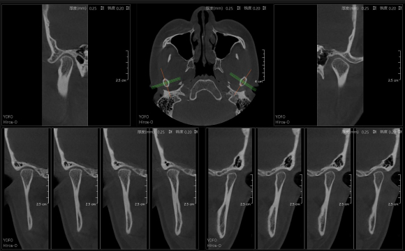
  • 高精準
    28 lp/cm
    空間分辨率
  • 高效率
    10/20 s
    掃描時長

拍一次就好

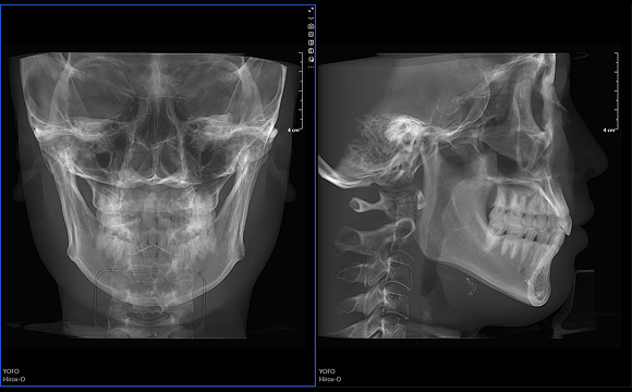
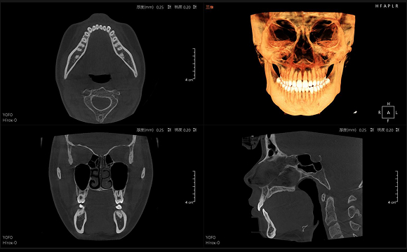
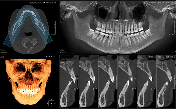
只需一次單圈掃描即可獲得CT、數字全景和3D正/側位影像,

并能同時生成3D TMJ視圖 提高診療效率,避免過度檢查,減少患者所受的輻射

  • CT

    CT

  • 3D全景

    數字全景

  • 3D 正側位

    3D 正側位

  • 3D TMJ視圖

    3D TMJ視圖

影像實力派

影像實力派
影像實力派
影像實力派
影像實力派
  • 影像實力派
    16×15cm
    非拼接大視野
  • 影像實力派
    28lp/cm
    高精準
  • 影像實力派
    Physics-driven系列偽影校正算法
    實現高清精準成像
    物理驅動
    偽影校正算法
更穩定的擺位方式
  • 更穩定的擺位方式
  • 更穩定的擺位方式
    • 更穩定的擺位方式
      一俯完成擺位
      簡單高效
    • 雙肩托承重更穩定
      雙肩托承重更穩定
      不易產生運動偽影
    • 雙肩托承重 + 腰部微彎
      雙肩托承重 + 腰部微彎
      對佝身、體弱的老人更友好
高效率作業
  • 高效率作業
    • 高效率作業
      拍一次就好
      一次拍攝同時獲得三種影像
    • 高效率作業
      掃描快、擺位快、出圖快
      拍完2s出圖
    • 高效率作業
      連拍強
      射源散熱系統提升連拍能力
  • 高效率作業

高顏值外觀

高顏值外觀 高顏值外觀

產品咨詢

歡迎致電有方醫療全國統一服務熱線400-878-2358,或給我們留言


聯系我們