首頁
產品中心
派CT系列
簡CT系列
信CT系列
云影像系統
產品中心
創新技術
關于有方
新聞動態
招賢納士
服務支持
聯系我們
中文
派CT
Pirox系列
雙/三源大視野口腔CBCT
簡CT
Jirox系列
坐式口腔CBCT
信CT
Hirox系列
大視野 · 螺旋口腔CBCT
云影像系統
蘭臺醫令?
AI云影像系統
新聞動態
News
返回列表
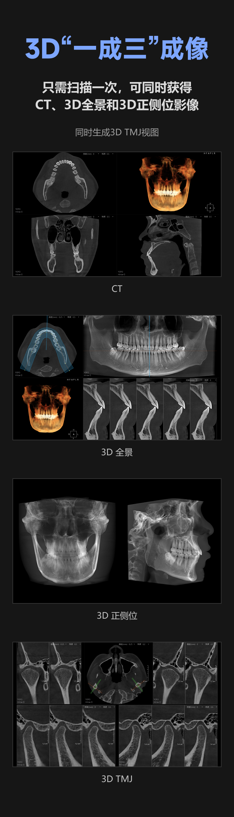
小身型,大格局——有方醫療?信CT正式發布!
2024-10-28
上一篇:
夢想照進現實,有方醫療科技發夢想照進現實,有方醫療科技發夢想照進現實,有方醫療科技發…
下一篇:
夢想照進現實,有方醫療科技發夢想照進現實,有方醫療科技發夢想照進現實,有方醫療科技發…
上一篇:
有方口腔CT算法升級,精準診療再上新臺階
下一篇:
有方醫療應邀參與中國體視學與圖像分析學術會議,暢聊有方CT創新之路
最新資訊
科技打頭陣,創新贏未來 | 有方醫療亮相第四屆中國(安徽)科交會
2026-04-30
CT用久就糊?有方醫療從根源抗衰減,影像持久清晰
2026-04-23
CMEF首秀圓滿收官 | ??朴跋瘛皩嵙ε伞庇蟹结t療,為精準而生,為高效而來
2026-04-13
聯系我們
您的稱呼
*
您的電話
*
備注信息
提交
請不要填寫此字段。